0700 We wake up. Horrible night of “sleep”. Head up to the NICU.
1580 grams on the board.
We enter RT’s room, two nurses. One trying to get an IV in the other helping keep him calm. One attempt already done on a scalp, blwe on the flush a 2nd attempt in process. His head is already a little bloody. 2nd attempt blows on the flush too.
They will let the anesthesiologist put in an IV, they say he has one good spot left in his leg.
Ultrasound is back for another echo cardiogram, Cardiologist is present this time to ensure the pictures he needs are taken.
Dr. Stops by, surgeon stops by, and anesthesiologist stops by. They all answer any questions we have, seem like good people. Surgeon draws a nice diagram of what they will be doing. Discusses the larger risks and complications. The nurse and respiratory therapist prep the incubator for transport. Then we are on our way.
We head to the elevator. First one is full, 2nd one is full, third one arrives with a transport person and a empty wheelchair, she almost makes it impossible to get on elevator but we manage to. Someone says, “I really wanted her to just give up the elevator, I think we might have higher precedence. What with surgery and moving a baby.” We were all thinking the same thing.
We get to the 7th floor, they normally go to the 6th floor, the signs are confusing up here we end up going the wrong way, but eventually find the right spot, I’m glad I’m not the only one that gets lost in hospitals.
We drop him off with his surgery team, sign some paperwork.
Then the important stuff, we tell RT we love him and we will see him soon. It is difficult to walk away.
We go to the elevator and head down to the 6th floor to the waiting room and see our CG chaplain. He is there waiting for us.
The TV in the surgery waiting room lists RT as in operating room, in a green back ground, when it is dark green it means the incision is closed. I keep a close eye on the monitor.
We get some good hugs, we talk about everything that’s been going on, I show him some pictures. It is nice to see him again. It makes the time go quicker having him there.
The back ground turns green. That means the surgeon will come talk to us soon.
The secretary comes by, asks if we are the family of RT, then ushers us to a room where the surgeon will speak to us.
The surgeon comes in and says the surgery went well!
We all sigh in relief.
They were able to get in there and do everything and they didn’t have to raise his ventilator support much. IV installed in his leg, sedated. Incision, spread ribs, move left lung out of the way, then dissect his heart slightly to access the PDA, clamp it, put everything back where it belongs then close him up. Stitches on the inside, surgical glue on the outside.
Then the surgeon says we should go do lunch if we haven’t yet, they have to move RT back to his incubator from operating table, then back to his room, get an xray, then get him settled. Should wait about an hour before heading up.
That is so long!
We thank the surgeon greatly. Then have lunch in the cafeteria with chaplain. Some more good talking to help the time go by. Mom and I feel much more relaxed than before surgery but still anxious. Other complications from surgery can still pop up even a few days down the road, or later on when he has to try and swallow/ or even talk. One of the nerves for the vocal coards run down the same area they had to work in.
We finish eating lunch and head up. I invite the chaplain in to see RT, he accepts. We head in and scrub up. Mom and I haven’t left the hospital since our initial 3 minute scrub of the day, so we require a shorter one, but chaplain still has to wash hands up to elbows for 3 minutes. It really seems slightly longer than necessary but it’s a rule tof keep RT from getting sick.
We head in and peak through his curtain, he is asleep, or unconscious. Yup its still little RT! Chaplain checks him out, one more honorary family member has now met him.
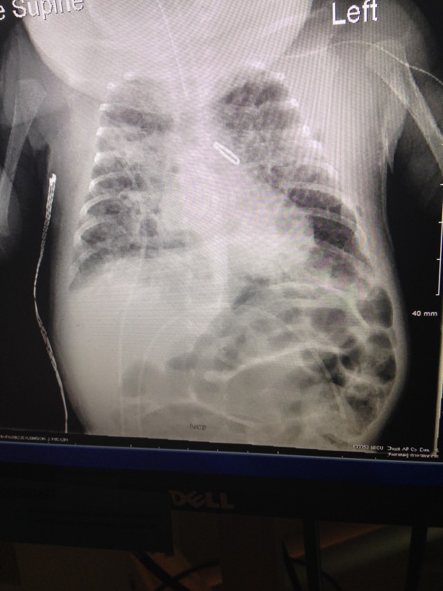
Nurse says RT did good, they have the xray complete so we ask to see it. I do like pictures.
The ventilator is back on pressure contol mode, because that’s what they use for surgery.
It’s time for Chaplain to head out and us to just sit back and try and relax.
We get our goodbye hugs.
Dr. Comes in and talks to us about the xray, tells us RT did as well as he could. Xray looks good. For now, no complications presenting themselves from surgery.
Blood gas, it’s good the wean some settings.
Then we do some cares, temp is 36.7. And RT pooped! Medium size but the biggest one since getting down here!
He is at 44% oxygen he was at 52% before surgery, so he is dealing with everything well.
Then its time for dinner.
Back to NICU 47% oxygen.
X-ray shows clip holding PDA shut.
Bob Marley “You never know how strong you are, until being strong is your only choice.”


Hi Sean and Leanna,
Big relief! Just read the post surgery news. Just wanted to check in. I really liked the video of Ryan’s smile. Very good. Quite a good change of his appearance since he was born. He’s really grown up. Obviously not out of the woods yet. Thanks for your tremendous love for your son! Let me know if I can help. Steve
LikeLiked by 1 person